老人中秋节犯病 医生巧解定时炸弹
2021-09-22 14:10系统
中秋佳节,年过六旬的高大爷却因为呼吸困难被救护车送到了广西壮族自治区南溪山医院。半个月前,高大爷就开始出现呼吸困难、声音嘶哑和吞咽困难的症状,吃不好睡不香,本想捱过中秋节,不曾想呼吸困难突然加重,让他坐立难安,大汗淋漓,不仅心跳加速,血压也飙高了不少。
刚入院时,高大爷虚弱地蜷缩在床上,一动也不敢动,喉咙随着呼吸发出阵阵响声,就像冬天里的大风吹过狭窄的门缝发出“呼呼”的声音。在给他进行急诊CT检查时,医生和护士推着床,备着喉镜、抢救包,小心翼翼地,生怕高大爷一口气上不来,随时可能出现生命危险。

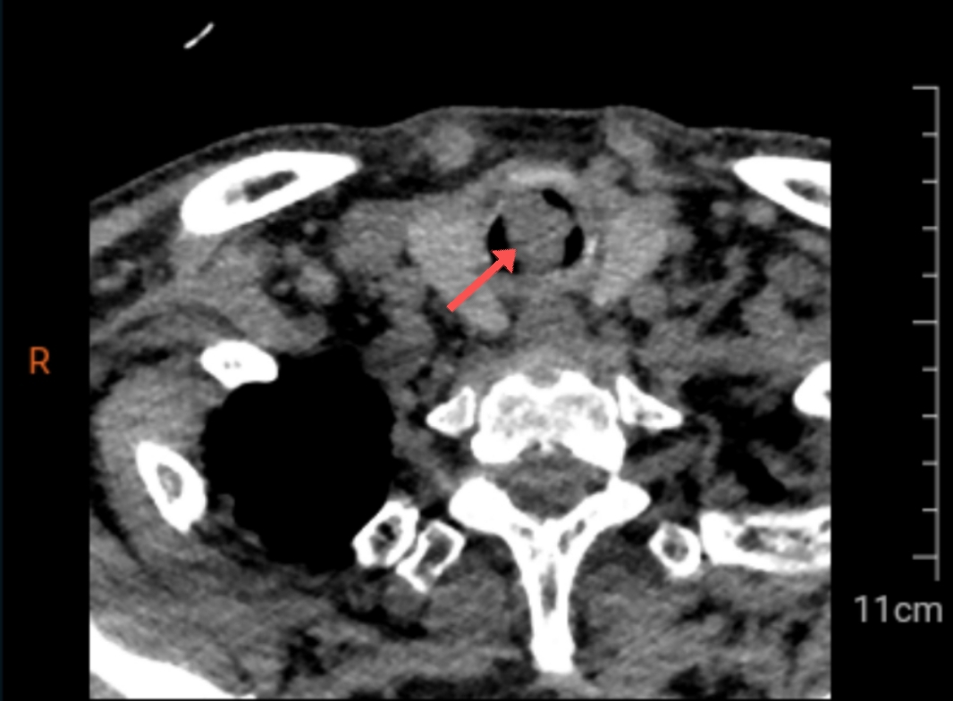
医生通过胸部CT图像发现,在高大爷的气管内距离声门下约1.5公分处有一个肿物,几乎完全堵塞了气道。找到了呼吸困难的原因,医生认为必须进行紧急手术解除梗阻,否则高大爷随时有可能猝死。因此,呼吸与危重症医学科二病区介入团队迅速完成术前准备,在麻醉科的协助下为高大爷完成了全麻下硬质气管镜下肿瘤切除术+APC+冷冻术,一颗大小约1.5*2.0cm的肿物从高大爷的气管内被分离出来。从进镜到铲切肿瘤,仅用时短短20分钟,手术过程非常顺利。


麻醉清醒后的高大爷顿时觉得呼吸轻松了许多,开口说话的声音也恢复了往昔,心率、血压也趋于平稳,一家人悬着的心也终于落下了。

呼吸与危重症医学科二病区主任屈东明博士强调,肺恶性肿瘤的治疗一直是世界难题,介入治疗包括硬镜、高频电刀、氩气刀、冷冻治疗、气管内支架置入等一系列治疗手段,对于恶性肿瘤侵犯气道,及时进行介入治疗可以快速解除气道梗阻,抢救生命,为后续治疗争取时间,提高患者生存质量,延长生存期。
通讯员:杨彩红
扫一扫 看病更方便
