椎间孔镜解决临床少见椎间盘突出
2022-04-19 09:30系统
“医生,麻烦帮我妹妹也看一下吧,之前给你看过片子了,今天她过来看我”,脊柱外科31床腰椎间盘突出症孔镜术后患者广柒叔叔对查房的熊宇医生请求到。“好的,请问阿姨你哪里不舒服?”;“我从外面走进来,现在腰和大腿痛的受不了,已经不能走了。”此时的广秀阿姨歪坐着皱着眉头回答道。经了解,广秀阿姨受腰痛折磨已近半年,曾在其他医院口服中药,针灸背部、腿部等未见好转,反而走路越来越痛,已至坐立难安的地步。
熊宇医生为她检查体格后,初步判断她的症状是因椎间盘突出压迫神经引起,需要住院治疗,完善检查后发现是胸12腰1(T12/L1)椎间盘突出。脊柱外科主任李亮和主任医师吴石奇为广秀阿姨安排了局麻下经侧后方入路T12/L1椎间盘髓核摘除、神经减压的微创手术,手术耗时1小时余,切口仅为7毫米,术中出血极少,术后广秀阿姨腰腿痛症状即刻缓解,之前因疼痛坐立难安,入睡困难,手术当晚就能安静入睡,术后第2天,她便佩戴腰围自行下床行走,现已顺利出院。
众多周知,腰椎间盘突出症是临床上较为常见的疾患之一,主要是因为腰椎间盘各部分(髓核、纤维环及软骨板),尤其是髓核,有不同程度的退行性改变后,在外力因素的作用下,椎间盘的纤维环破裂,髓核组织突出(或脱出)于后方或椎管内,导致相邻脊神经根遭受刺激或压迫,从而产生腰部疼痛,一侧下肢或双下肢麻木、疼痛等一系列临床症状。而腰椎间盘突出症又以腰4/5、腰5骶1节段发病率最高,约占95%,广秀阿姨所患的T12/L1椎间盘突出症,属于临床非常少见的类型。此例手术在邻近胸髓和脊髓圆锥的部位进行操作,手术风险较常规手术高,对手术技术要求更高,南溪山医院微创脊柱外科凭借扎实的技术与先进的诊疗理念,不断精研,积累了丰富经验,手术技术日臻成熟,为越来越多的患者解除病痛的折磨。
通讯员:熊宇

图1.术前(左图)术后(右图)腰椎磁共振矢状位对比,显示突出髓核已被摘除。

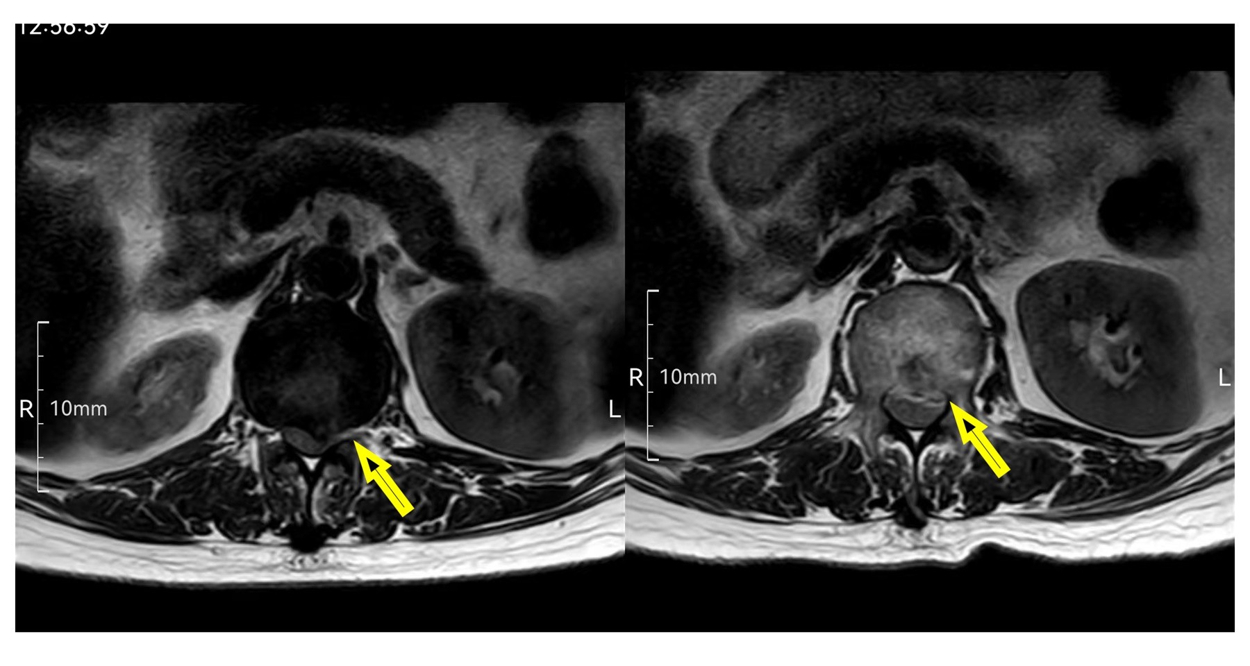
图2.术前(左图)术后(右图)腰椎磁共振横截面对比,显示突出髓核已被摘除。
扫一扫 看病更方便
