男童反复发热竟因肺吸虫 专家提醒饮食卫生要注意
2023-03-03 09:19系统
3月1日一早,奇奇的父亲就提着一面锦旗走进了南溪山医院儿科医生办公室,激动地说:“我们今天出院了,感谢赵主任、石医生,感谢你们对奇奇无微不至的照顾。”
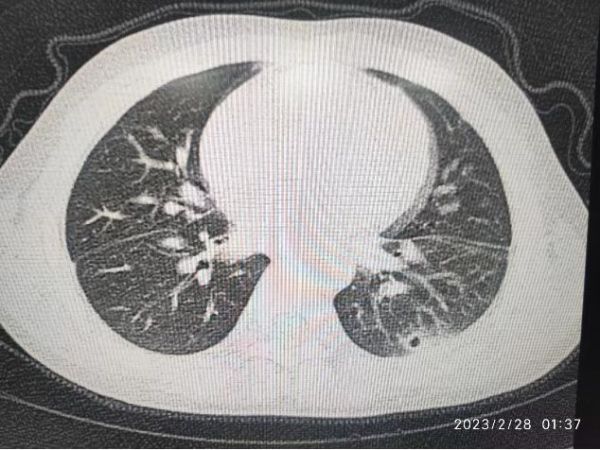
奇奇起初因为“头痛、呕吐、间断发热6天”到儿科住院治疗,经过检查被诊断为“化脓性脑膜炎”,经过有效治疗后,病情逐渐好转的奇奇却再次发热,经过再三仔细询问了解到,奇奇平时经常发热,喜欢喝生水,生吃螃蟹,饮食不太注意卫生,经多次血常规检查,发现他的嗜酸粒细胞升高,医生高度怀疑寄生虫感染,于是完善了寄生虫抗体检验,果然提示肺吸虫“阳性”,肺部CT也显示他的左肺下叶部分病灶内有空洞。
再次发热的真凶终于找到,就是肺吸虫感染。经过规范抗寄生虫治疗后,奇奇体温下降,不再反复,终于顺利出院。
据儿科主任赵红丽介绍,肺吸虫是一种寄生在水生动物体内的寄生虫,肺吸虫病如果诊断不及时,容易发展成脑膜炎型,导致癫痫反复发作,后果严重。一般而言,如果有人吃了生或半生的食物,比如生鱼片、醉虾等,就可能患上肺吸虫病。像奇奇这样平时喝生水、吃生螃蟹极易引发疾病,预防肺吸虫病需要注意以下几点:1、尽量不要喝凉水或者是没有煮沸的生水。2、不要去吃淡水小龙虾或者是螃蟹等,如果是去吃海鲜之类的,应该要在高温底下烹饪熟。不能够吃半生不熟的,特别是在本病流行地区,肺吸虫在食物当中可能就会有寄生感染,如果不注意饮食极易患上肺吸虫病。3、要注意个人卫生习惯,吃饭时要经常洗手。




扫一扫 看病更方便
