自治区南溪山医院胸外科完成多例机器人辅助胸腺瘤手术
2025-08-29 15:31系统
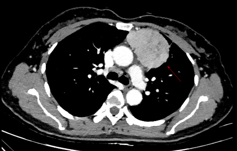
近日,广西壮族自治区南溪山医院胸外科在熊荣生主任医师的带领下,在微创外科领域再获突破,一周内成功完成4例机器人辅助胸腺瘤切除手术。其中,两例尤为典型:一例为直径近 10厘米的巨大胸腺瘤,另一例位于颈胸交界处,均属于胸外科高难度手术。
巨大胸腺瘤:肿瘤体积庞大,紧邻心脏及大血管,稍有不慎即可造成严重并发症;传统胸腔镜在视野和操作灵活性方面受限,往往难以保证安全完整切除,只有正中劈开胸骨,才能做到肿瘤安全、完整切除,但是造成病人的创伤很大。
颈胸交界处胸腺瘤:解剖位置复杂,毗邻气管、血管与神经。需要颈部和胸部联合切口才能切除肿瘤,手术创伤大、恢复周期长,并发症风险高。
胸外科手术团队在上腹部剑突下切开约3cm和双侧肋弓下切开长约0.8cm的切口,凭借机器人系统的三维高清视野与灵巧机械臂,建立胸骨后隧道,将周围血管、神经和肿瘤精准剥离,实现了肿瘤和胸腺组织完整切除,两台手术的手术时间都是1小时左右,术中出血量不足50ml术中没有留置胸管、尿管及深静脉导管,真正实现了“无管化手术”,最大限度减少了对患者的创伤,减轻了术后疼痛与不适,实现了快速康复。
所有患者术后恢复顺利,创伤更小、疼痛更轻、康复更快,均已平稳出院。此次典型病例的成功,再次验证了机器人辅助手术在复杂胸外科疾病治疗中的安全性与先进性,也标志着我院胸外科微创诊疗水平迈上了新的台阶。
作为桂北地区率先开展机器人手术的团队,南溪山医院胸外科在肺癌、食管癌、纵隔肿瘤机器人手术治疗中积累了大量临床经验,疗效显著,获得患者一致好评。
未来,胸外科将继续拓展机器人辅助手术在更广泛胸部疾病中的应用,推动技术创新与规范化发展,努力打造区域一流、国内先进的胸外科微创诊疗中心,为更多患者带来精准、安全、高质量的医疗服务。


通讯员 徐谊
扫一扫 看病更方便
