久咳不愈真凶竟在气道 “潜伏”异物终被南溪山医院专家精准擒获 ——七旬老人反复咳嗽、气喘一年多,镜下取出异物效果立竿见影
2025-12-26 18:33系统
近日,自治区南溪山医院呼吸与危重症医学科学科带头人兼一病区主任佘巍巍博士带领团队,凭借精湛的支气管镜介入技术与缜密的临床思维,成功为一位被咳嗽、气喘困扰长达一年多的七旬患者取出右下支气管内异物,术后患者症状即刻得到显著缓解。此例疑难病例的成功诊治,充分展现了该团队在复杂气道疾病领域的深厚功底与高超技艺。
患者为68岁男性,有慢性阻塞性肺疾病病史,长期咳嗽、咳痰、气喘,虽经多次住院规范治疗,效果仍不理想,病情反复且近期加重,生活质量严重受损。外院曾疑诊“支气管肿瘤”,但因患者个人原因未行进一步检查,诊断陷入僵局。
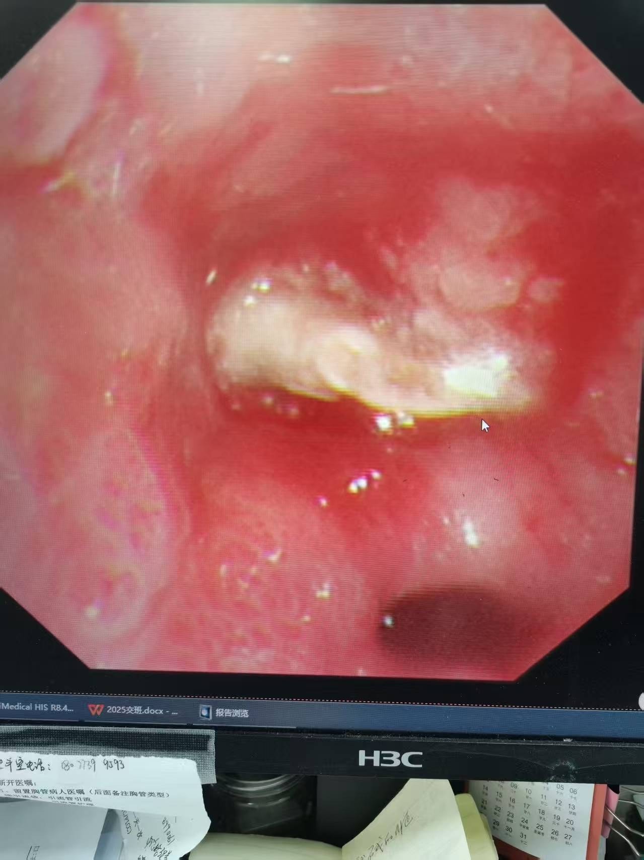
(图1:支气管镜下清晰可见右下叶开口处异物嵌顿,周围粘膜充血水肿。)
图2:成功取出的气道异物。
图3:成功取出的气道异物。
面对这一棘手情况,佘巍巍主任团队展现了高度的专业负责精神与精准的研判能力。 团队没有局限于常规治疗,而是深入分析病情特点,考虑到气道异物可能性,耐心与患者及家属沟通,最终说服患者接受关键性的支气管镜检查。检查过程中,团队操作细致精准, 迅速于右下叶支气管开口处发现了嵌顿的异物及周围显著炎症,一举揭开了困扰患者多时的病因谜团。
明确诊断后,团队迅速制定周密的介入治疗方案。针对异物滞留时间长、局部炎症明显、取出难度大的特点,佘巍巍主任决定采用高难度的“硬质气管镜下异物取出术”,并结合冷冻治疗处理炎性肉芽组织。 硬质气管镜操作空间大、稳定性高,但对术者技术要求极高。12月22日,由佘巍巍主任主刀,团队密切配合,凭借丰富的经验和稳健的操作,成功将异物完整取出,且未对周围气道造成损伤。整个手术过程流畅、高效,体现了团队在复杂气道介入操作上的娴熟技艺与强大协同能力。
术后患者呼吸即刻顺畅,咳嗽、咳痰症状显著改善,复查影像学提示气道恢复通畅。佘巍巍主任分析,该患者有脑梗死病史,可能存在隐匿性吞咽功能障碍,这是导致异物误吸长期存留的基础。团队不仅解决了本次异物问题,还为其后续的康复管理与误吸预防提供了重要指导。
此次成功救治,是佘巍巍主任团队精湛医术的集中体现: 从 “精准研判” 不放过任何疑点,到 “技术攻坚” 驾驭高难度介入手术,再到 “快速见效” 解除患者痛苦,每一步都彰显了团队以患者为中心、勇于解决疑难复杂气道疾病的综合实力。南溪山医院呼吸与危重症医学科也将继续精进医术,为更多患者提供优质、精准的诊疗服务。
(通讯员 李思敏)
扫一扫 看病更方便
